产品库

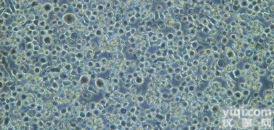
RGC-5细胞;视网膜神经节细胞

产品信息

RGC-5细胞;视网膜神经节细胞        
    【细胞货号】    C1104
    【细胞缩写】    RGC-5细胞
    【细胞名称】    RGC-5(视网膜神经节细胞)
    【背景资料】    RGC-5细胞系细胞膜或者细胞内表达的物质都与RGCs相同 ,阳性表达物有Thy-1(RGCs的膜标记蛋白)、Brn-3C、Neuritin、NMDA受体、GABA-B受体、突触素、多种神经营养因子的受体(TrkA、TrkB、TrkC、p75NTR等膜生长因子的受体)、睫状神经营养因子、胶质细胞源性神经生长因子、神经营养因子-3、神经营养因子-4、神经纤维丝蛋白-106 和-200(neurofilament protein、NF-106、NF-200)。不表达的有GFAP-胶质原纤维酸性蛋白(Muller细胞标记物)、突触融合蛋白、8A-1(水平细胞标记物)、HPC-1(无长突细胞标记物)。
    【细胞来源】    细胞主要来源ATCC、DSMZ、ECACC、RIKEN以及少数国内外大学建系
    【代次】    P4
    【规格】    复苏T25培养瓶(一瓶)或冻存1ml冻存管(两支)
    【细胞数】    1*10(6)
    【生物安全级别】    1
    【生物体】    大鼠
    【组织来源】    视网膜神经节细胞
    【细胞形态】    成神经细胞
    【细胞特性】    贴壁
    【细胞活力】    95%(Viability by Trypan Blue Exclusion)
    【细胞检测】    细胞不含有HIV-1、HBV、HCV、支原体、细菌、酵母和真菌
    【培养条件】    详见细胞说明书
    【传代方法】    建议1:2-1:3 两天换液一次
    【冻存条件】    详见细胞说明书
    【主要文献】    请具体查阅相关发表文章
1)请您在收到细胞时,首先观察培养瓶是否完好,培养液是否外渗,培养液是否混浊,建议Z好对细胞状态拍照留存。如发现有瓶破、渗漏、培养液混浊等问题,请在收到细胞后立即与我们。
2)您在收到细胞后一个星期内,如果RGC-5细胞;视网膜神经节细胞培养有任何问题请及时与我们,我们会帮您分析原因,并为您提供,根据实际情况为您提供售后服务。
3)请您在收到细胞后请务必先放在培养箱中稳定3小时左右后再做处理;
(如果3小时后发现仍有大量细胞漂浮请于培养箱中第二天再做处理)
4)收到细胞时如无异常情况,请在显微镜下观察细胞密度,如为贴壁细胞,未超过80%汇合度时,将培养瓶中培养液吸出,留下10ml培养液继续培养;超过80%汇合度时,请按细胞培养条件传代培养。如为悬浮细胞,吸出培养液、1000转/分钟离心2分钟,吸出上清,管底细胞用新鲜培养基悬浮细胞后移回培养瓶。
5)您收到细胞时,细胞瓶中含有大约60ml培养液,您可留10ml培养液培养,其余约50ml培养液可以收集继续使用,在*,第二次消化传瓶时,建议您留一瓶细胞继续使用我们的培养液,其他瓶的细胞您可使用自己的培养液,这样可减少由于不适应培养液导致的细胞问题。
6)注意:由于季节变化,冬季一般使用干冰保存的为冻存细胞,请客户收到好及时复苏确定细胞状态,以确保售后服务的正常开展。
CL(03)-024164A    RLE-6TN,大鼠肺上皮Ⅱ型细胞    规格:25毫升(细胞浓度大于1000000个/瓶)    提供用于细胞科研的稳定细胞系,公司细胞主要来源ATCC,Invitrogen,ECACC,ScienCell,ACC等知名细胞库。
CL(03)-02416    RLE-6TN,大鼠肺上皮Ⅱ型细胞    规格:25毫升(细胞浓度大于1000000个/瓶)    提供用于细胞科研的稳定细胞系,公司细胞主要来源ATCC,Invitrogen,ECACC,ScienCell,ACC等知名细胞库。
CL(03)-024166A    RLE-6TN,肺泡II型上皮细胞    规格:25毫升(细胞浓度大于1000000个/瓶)    提供用于细胞科研的稳定细胞系,公司细胞主要来源ATCC,Invitrogen,ECACC,ScienCell,ACC等知名细胞库。
CL(03)-024167A    RLE-6TN;大鼠肺上皮Ⅱ型细胞    规格:25毫升(细胞浓度大于1000000个/瓶)    提供用于细胞科研的稳定细胞系,公司细胞主要来源ATCC,Invitrogen,ECACC,ScienCell,ACC等知名细胞库。
CL(03)-024168A    RLE-6TN;大鼠肺上皮Ⅱ型细胞    规格:25毫升(细胞浓度大于1000000个/瓶)    提供用于细胞科研的稳定细胞系,公司细胞主要来源ATCC,Invitrogen,ECACC,ScienCell,ACC等知名细胞库。
CL(03)-024169A    RLE-6TN;肺泡II型上皮细胞    规格:25毫升(细胞浓度大于1000000个/瓶)    提供用于细胞科研的稳定细胞系,公司细胞主要来源ATCC,Invitrogen,ECACC,ScienCell,ACC等知名细胞库。
CL(03)-024170A    RLE-6TN[大鼠肺上皮Ⅱ型细胞]    规格:25毫升(细胞浓度大于1000000个/瓶)    提供用于细胞科研的稳定细胞系,公司细胞主要来源ATCC,Invitrogen,ECACC,ScienCell,ACC等知名细胞库。
CL(03)-024171A    RLE-6TN大鼠肺上皮Ⅱ型细胞    规格:25毫升(细胞浓度大于1000000个/瓶)    提供用于细胞科研的稳定细胞系,公司细胞主要来源ATCC,Invitrogen,ECACC,ScienCell,ACC等知名细胞库。
CL(03)-024172A    RLE-6TN大鼠肺上皮Ⅱ型细胞    规格:25毫升(细胞浓度大于1000000个/瓶)    提供用于细胞科研的稳定细胞系,公司细胞主要来源ATCC,Invitrogen,ECACC,ScienCell,ACC等知名细胞库。
CL(03)-024173A    RLE-6TN肺泡II型上皮细胞    规格:25毫升(细胞浓度大于1000000个/瓶)    提供用于细胞科研的稳定细胞系,公司细胞主要来源ATCC,Invitrogen,ECACC,ScienCell,ACC等知名细胞库。
CL(03)-024174A    RLE-6TN细胞,大鼠肺上皮Ⅱ型细胞    规格:25毫升(细胞浓度大于1000000个/瓶)    提供用于细胞科研的稳定细胞系,公司细胞主要来源ATCC,Invitrogen,ECACC,ScienCell,ACC等知名细胞库。
CL(03)-02417    RLE-6TN细胞,大鼠肺上皮Ⅱ型细胞    规格:25毫升(细胞浓度大于1000000个/瓶)    提供用于细胞科研的稳定细胞系,公司细胞主要来源ATCC,Invitrogen,ECACC,ScienCell,ACC等知名细胞库。
CL(03)-024176A    RLE-6TN细胞,大鼠肺上皮Ⅱ型细胞    规格:25毫升(细胞浓度大于1000000个/瓶)    提供用于细胞科研的稳定细胞系,公司细胞主要来源ATCC,Invitrogen,ECACC,ScienCell,ACC等知名细胞库。
CL(03)-024177A    RLE-6TN细胞,大鼠肺上皮Ⅱ型细胞    规格:25毫升(细胞浓度大于1000000个/瓶)    提供用于细胞科研的稳定细胞系,公司细胞主要来源ATCC,Invitrogen,ECACC,ScienCell,ACC等知名细胞库。
CL(03)-024178A    RLE-6TN细胞,肺泡II型上皮细胞    规格:25毫升(细胞浓度大于1000000个/瓶)    提供用于细胞科研的稳定细胞系,公司细胞主要来源ATCC,Invitrogen,ECACC,ScienCell,ACC等知名细胞库。
CL(03)-024179A    RLE-6TN细胞;大鼠肺上皮Ⅱ型细胞    规格:25毫升(细胞浓度大于1000000个/瓶)    提供用于细胞科研的稳定细胞系,公司细胞主要来源ATCC,Invitrogen,ECACC,ScienCell,ACC等知名细胞库。
CL(03)-024180A    RLE-6TN细胞;大鼠肺上皮Ⅱ型细胞    规格:25毫升(细胞浓度大于1000000个/瓶)    提供用于细胞科研的稳定细胞系,公司细胞主要来源ATCC,Invitrogen,ECACC,ScienCell,ACC等知名细胞库。
CL(03)-024181A    RLE-6TN细胞;肺泡II型上皮细胞    规格:25毫升(细胞浓度大于1000000个/瓶)    提供用于细胞科研的稳定细胞系,公司细胞主要来源ATCC,Invitrogen,ECACC,ScienCell,ACC等知名细胞库。
CL(03)-024182A    RM1(大鼠肌肉成纤维样细胞)    规格:25毫升(细胞浓度大于1000000个/瓶)    提供用于细胞科研的稳定细胞系,公司细胞主要来源ATCC,Invitrogen,ECACC,ScienCell,ACC等知名细胞库。
CL(03)-024183A    RM-1(前列腺癌细胞)    规格:25毫升(细胞浓度大于1000000个/瓶)    提供用于细胞科研的稳定细胞系,公司细胞主要来源ATCC,Invitrogen,ECACC,ScienCell,ACC等知名细胞库。
CL(03)-024184A    RM-1(前列腺癌细胞)    规格:25毫升(细胞浓度大于1000000个/瓶)    提供用于细胞科研的稳定细胞系,公司细胞主要来源ATCC,Invitrogen,ECACC,ScienCell,ACC等知名细胞库。
CL(03)-02418    RM-1(前列腺癌细胞)    规格:25毫升(细胞浓度大于1000000个/瓶)    提供用于细胞科研的稳定细胞系,公司细胞主要来源ATCC,Invitrogen,ECACC,ScienCell,ACC等知名细胞库。
CL(03)-024186A    RM-1(小鼠前列腺癌细胞)    规格:25毫升(细胞浓度大于1000000个/瓶)    提供用于细胞科研的稳定细胞系,公司细胞主要来源ATCC,Invitrogen,ECACC,ScienCell,ACC等知名细胞库。
CL(03)-024187A    RM-1(小鼠前列腺癌细胞)    规格:25毫升(细胞浓度大于1000000个/瓶)    提供用于细胞科研的稳定细胞系,公司细胞主要来源ATCC,Invitrogen,ECACC,ScienCell,ACC等知名细胞库。
CL(03)-024188A    RM1,大鼠肌肉成纤维样细胞    规格:25毫升(细胞浓度大于1000000个/瓶)    提供用于细胞科研的稳定细胞系,公司细胞主要来源ATCC,Invitrogen,ECACC,ScienCell,ACC等知名细胞库。
CL(03)-024189A    RM-1,前列腺癌细胞    规格:25毫升(细胞浓度大于1000000个/瓶)    提供用于细胞科研的稳定细胞系,公司细胞主要来源ATCC,Invitrogen,ECACC,ScienCell,ACC等知名细胞库。
CL(03)-024190A    RM-1,小鼠前列腺癌细胞    规格:25毫升(细胞浓度大于1000000个/瓶)    提供用于细胞科研的稳定细胞系,公司细胞主要来源ATCC,Invitrogen,ECACC,ScienCell,ACC等知名细胞库。
CL(03)-024191A    RM-1,小鼠前列腺癌细胞    规格:25毫升(细胞浓度大于1000000个/瓶)    提供用于细胞科研的稳定细胞系,公司细胞主要来源ATCC,Invitrogen,ECACC,ScienCell,ACC等知名细胞库。
CL(03)-024192A    RM-1,小鼠前列腺癌细胞    规格:25毫升(细胞浓度大于1000000个/瓶)    提供用于细胞科研的稳定细胞系,公司细胞主要来源ATCC,Invitrogen,ECACC,ScienCell,ACC等知名细胞库。
CL(03)-024193A    RM-1,小鼠前列腺癌细胞    规格:25毫升(细胞浓度大于1000000个/瓶)    提供用于细胞科研的稳定细胞系,公司细胞主要来源ATCC,Invitrogen,ECACC,ScienCell,ACC等知名细胞库。
CL(03)-024194A    RM1;大鼠肌肉成纤维样细胞    规格:25毫升(细胞浓度大于1000000个/瓶)    提供用于细胞科研的稳定细胞系,公司细胞主要来源ATCC,Invitrogen,ECACC,ScienCell,ACC等知名细胞库。
CL(03)-02419    RM-1;前列腺癌细胞    规格:25毫升(细胞浓度大于1000000个/瓶)    提供用于细胞科研的稳定细胞系,公司细胞主要来源ATCC,Invitrogen,ECACC,ScienCell,ACC等知名细胞库。
CL(03)-024196A    RM-1;小鼠前列腺癌细胞    规格:25毫升(细胞浓度大于1000000个/瓶)    提供用于细胞科研的稳定细胞系,公司细胞主要来源ATCC,Invitrogen,ECACC,ScienCell,ACC等知名细胞库。
CL(03)-024197A    RM-1;小鼠前列腺癌细胞    规格:25毫升(细胞浓度大于1000000个/瓶)    提供用于细胞科研的稳定细胞系,公司细胞主要来源ATCC,Invitrogen,ECACC,ScienCell,ACC等知名细胞库。
CL(03)-024198A    RM-1;小鼠前列腺癌细胞    规格:25毫升(细胞浓度大于1000000个/瓶)    提供用于细胞科研的稳定细胞系,公司细胞主要来源ATCC,Invitrogen,ECACC,ScienCell,ACC等知名细胞库。
CL(03)-024199A    RM-1;小鼠前列腺癌细胞    规格:25毫升(细胞浓度大于1000000个/瓶)    提供用于细胞科研的稳定细胞系,公司细胞主要来源ATCC,Invitrogen,ECACC,ScienCell,ACC等知名细胞库。
CL(03)-024200A    RM-1[前列腺癌细胞]    规格:25毫升(细胞浓度大于1000000个/瓶)    提供用于细胞科研的稳定细胞系,公司细胞主要来源ATCC,Invitrogen,ECACC,ScienCell,ACC等知名细胞库。
CL(03)-024201A    RM-1[小鼠前列腺癌细胞]    规格:25毫升(细胞浓度大于1000000个/瓶)    提供用于细胞科研的稳定细胞系,公司细胞主要来源ATCC,Invitrogen,ECACC,ScienCell,ACC等知名细胞库。
CL(03)-024202A    RM1大鼠肌肉成纤维样细胞    规格:25毫升(细胞浓度大于1000000个/瓶)    提供用于细胞科研的稳定细胞系,公司细胞主要来源ATCC,Invitrogen,ECACC,ScienCell,ACC等知名细胞库。
CL(03)-024203A    RM-1前列腺癌细胞    规格:25毫升(细胞浓度大于1000000个/瓶)    提供用于细胞科研的稳定细胞系,公司细胞主要来源ATCC,Invitrogen,ECACC,ScienCell,ACC等知名细胞库。
CL(03)-024204A    RM1细胞,大鼠肌肉成纤维样细胞    规格:25毫升(细胞浓度大于1000000个/瓶)    提供用于细胞科研的稳定细胞系,公司细胞主要来源ATCC,Invitrogen,ECACC,ScienCell,ACC等知名细胞库。
CL(03)-02420    RM-1细胞,前列腺癌细胞    规格:25毫升(细胞浓度大于1000000个/瓶)    提供用于细胞科研的稳定细胞系,公司细胞主要来源ATCC,Invitrogen,ECACC,ScienCell,ACC等知名细胞库。
CL(03)-024206A    RM-1细胞,前列腺癌细胞    规格:25毫升(细胞浓度大于1000000个/瓶)    提供用于细胞科研的稳定细胞系,公司细胞主要来源ATCC,Invitrogen,ECACC,ScienCell,ACC等知名细胞库。
CL(03)-024207A    RM-1细胞,前列腺癌细胞    规格:25毫升(细胞浓度大于1000000个/瓶)    提供用于细胞科研的稳定细胞系,公司细胞主要来源ATCC,Invitrogen,ECACC,ScienCell,ACC等知名细胞库。
CL(03)-024208A    RM-1细胞,小鼠前列腺癌细胞    规格:25毫升(细胞浓度大于1000000个/瓶)    提供用于细胞科研的稳定细胞系,公司细胞主要来源ATCC,Invitrogen,ECACC,ScienCell,ACC等知名细胞库。
CL(03)-024209A    RM-1细胞,小鼠前列腺癌细胞    规格:25毫升(细胞浓度大于1000000个/瓶)    提供用于细胞科研的稳定细胞系,公司细胞主要来源ATCC,Invitrogen,ECACC,ScienCell,ACC等知名细胞库。
CL(03)-024210A    RM-1细胞,小鼠前列腺癌细胞    规格:25毫升(细胞浓度大于1000000个/瓶)    提供用于细胞科研的稳定细胞系,公司细胞主要来源ATCC,Invitrogen,ECACC,ScienCell,ACC等知名细胞库。
CL(03)-024211A    RM-1细胞,小鼠前列腺癌细胞    规格:25毫升(细胞浓度大于1000000个/瓶)    提供用于细胞科研的稳定细胞系,公司细胞主要来源ATCC,Invitrogen,ECACC,ScienCell,ACC等知名细胞库。
CL(03)-024212A    RM-1细胞,小鼠前列腺癌细胞    规格:25毫升(细胞浓度大于1000000个/瓶)    提供用于细胞科研的稳定细胞系,公司细胞主要来源ATCC,Invitrogen,ECACC,ScienCell,ACC等知名细胞库。
CL(03)-024213A    RM-1细胞,小鼠前列腺癌细胞    规格:25毫升(细胞浓度大于1000000个/瓶)    提供用于细胞科研的稳定细胞系,公司细胞主要来源ATCC,Invitrogen,ECACC,ScienCell,ACC等知名细胞库。
CL(03)-024214A    RM1细胞;大鼠肌肉成纤维样细胞    规格:25毫升(细胞浓度大于1000000个/瓶)    提供用于细胞科研的稳定细胞系,公司细胞主要来源ATCC,Invitrogen,ECACC,ScienCell,ACC等知名细胞库。
CL(03)-02421    RM-1细胞;前列腺癌细胞    规格:25毫升(细胞浓度大于1000000个/瓶)    提供用于细胞科研的稳定细胞系,公司细胞主要来源ATCC,Invitrogen,ECACC,ScienCell,ACC等知名细胞库。

 

信息声明:本产品供应信息由仪器网为您整合,供应商为(上海冠导生物工程有限公司),内容包括 (RGC-5细胞;视网膜神经节细胞)的品牌、型号、技术参数、详细介绍等;如果您想了解更多关于 (RGC-5细胞;视网膜神经节细胞)的信息,请直接联系供应商,给供应商留言!
供应商产品推荐
    您可能感兴趣的产品