产品库

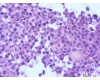
人胚肺转化细胞SL-1细胞 人胚肺转化细胞SL-1细胞

产品信息
人胚肺转化细胞SL-1细胞,简称:
产品介绍:
规格数量:5*10^5
运输条件:复苏细胞常温运输,冻存细胞干冰运输
产品品Pai:国产/进口
研究范围:仅供科研使用,切勿用于其它用途
细胞特征:每两到三天进行换液。细胞应当在融合前传代
细胞株状态:活性好、存活率高
随着细胞生物学尤其是干细胞研究的快速发展,在细胞ZL领域已经进行了大量的探索,取得了一系列的令人振奋的成果,且部分基础研究成果已经在心血管系统疾病、神经系统疾病、肌肉骨骼祥光疾病、糖尿病等。人胚肺转化细胞SL-1细胞
养细胞注意事项:
1.观察细胞形态。每天必须观察细胞膜,看是否清楚,细胞的死亡往往是从细胞膜的破裂开始的,早期的表现就是某一点细胞膜出现欠完整或者毛发影。
2.细胞往往会有“抱团”现象,抱团生长或死亡,个人认为应该勤换液或传代,尽量避免细胞“抱团”。人胚肺转化细胞SL-1细胞
3.细胞生长迅速,强烈建议用较大的培养瓶养,用小瓶养的活,换液不及时,很容易死亡。
4.细胞的生长速度一般为2天左右就需要传代,并且一般为一传三,或一传四。
4.细胞培养液:1640培养液,一般1L加2g碳酸氢钠,并加双抗,胎牛血清浓度为12%,Z低不低于10%,HL60细胞对胎牛血清高度依赖。培养液PH应调为7.20-7.40之间。
5.防止细胞污染。HL60细胞生长迅速,较少发生污染,但常规措施应该做好。比如无菌操作,酒精消毒等,培养瓶口建议过火,包括瓶盖,应过火4秒左右。
6.冻存。-20一小时,-80过一晚,液氮长期保存。强烈建议液氮长期保存,尽量不要再-80长期保存,死亡率很高。
7.细胞复苏:先调节水浴箱温度为42℃,并提前在试管内放置10倍培养液,使培养液温度与试管一致。1分钟内融化细胞(禁止摇晃冻存管),然后移取至试管内,动作一定要轻,从试管管底开始慢慢上提移液管,使细胞在培养液内分布均匀,离心,洗2次。
欢迎科研老师、代理采购前来咨询订购,本页关键词:人胚肺转化细胞SL-1细胞
Q1645 吡啶甲酸铬/吡啶羧酸铬/2-吡啶甲酸铬/甲基吡啶铬/2-吡啶羧酸铬盐/吡啶甲酸铬(III)/甲酸吡啶铬/2-甲酸吡啶铬(III)/Chromium picolinate BR,98% 1克 sigma分装 14639-25-9 RT
   5克 sigma分装  
Q1646 原花青素/2-(3,4-二羟基苯基)-2-((2-(3,4-二羟基苯基)-3,4-二氢-5,7-二羟基-2H-1-苯并吡喃-3-基)氧基)-3,4-二氢-2H-1-苯并吡喃-3,4,5,7-四醇/Procyanidin BR,95% 100毫克 sigma分装 4852-22-6 RT
   1克 sigma分装  
Q1646-1 葡萄籽提取物/Grape Seed Extract BR,95% 100毫克 sigma分装 84929-27-1 RT
   1克 sigma分装  
Q1646-2 原花青素B2/原矢车菊素B2/Procyanidin B2 分析标准品,90% 1毫克 sigma分装 29106-49-8 2~8℃
Q1646-3 4-氨基-1-甲基-3-正丙基-1H-吡唑-5-甲酰胺/4-氨基-1-甲基-3-正丙基-1H-吡唑-5-羧酰胺/4-Amino-1-methyl-3-n-propyl-5-pyrazolecarboxamide BR,96% 5克 sigma分装 139756-02-8 RT
Q1646-4 棕榈酸对硝基苯酯/4-硝基苯棕榈酸酯/十六碳酸4-硝基苯酯/4-硝基苯基棕榈酸酯/4-Nitrophenyl palmitate BR,98% 1克 sigma分装 1492-30-4 保存:-20℃
   5克 sigma分装  
Q1646-5 高温油脂III/真空油脂III/阿匹松M/Grease of high temperature III 色固 25克 sigma分装 12704-91-5 RT
Q1647 胡椒碱/胡椒辣碱/(E,E)-1-[5-(1,3-苯并二氧戊环-5-基)-1-氧代-2,4-戊二烯基]-哌啶/1-(5-(1,3-苯并二氧代-5-基)-1-氧代-2,4-戊二烯基(-(E,E)-哌啶/胡椒酰胺/Piperine BR,98% 5克 sigma分装 94-62-2 RT,避光
   25克 sigma分装  
Q1648 四丁基氟化铵/四正丁基氟化铵/氟化四丁基胺/氟化四丁铵/TBAF BR,98%,粉末 25克 国产 429-41-4 RT
   100克 国产  
  BR,75%水溶液 25克 进分  
   100克 进分  
  BR,1M四氢呋喃溶液 25毫升 进分  
   100毫升 进分  
Q1648-1 四丁基氟化铵三水合物/四正丁基氟化铵三水合物/四丁基氢氧化铵三水物/四丁胺氟化物/TBAF trihydrate BR,98% 25克 国产 429-41-4 RT
   100克 国产  
   500克 国产  
Q1649 2-己酮/丙基丙酮/甲基丁基酮/甲基正丁基甲酮/甲丁酮/甲基丁基甲酮/丁基甲基酮/2-Hexanone AR,99% 100毫升 国产 591-78-6 RT
   500毫升 国产  
  GCS 5毫升 国产  
Q1650 聚乙二醇350单甲醚/聚乙二醇单甲醚/聚乙二醇甲醚/甲氧基聚乙二醇/α-甲基-ω-羟基聚环氧乙烷/α-甲基-ω-羟基聚氧乙烯/MPEG 350 BR 100克 sigma分装 9004-74-4 RT
   500克 sigma分装  
Q1651 聚乙二醇550单甲醚/聚乙二醇单甲醚/聚乙二醇甲醚/甲氧基聚乙二醇/α-甲基-ω-羟基聚环氧乙烷/α-甲基-ω-羟基聚氧乙烯/MPEG 550 BR 100克 sigma分装 9004-74-4 RT
   500克 sigma分装  
Q1652 聚乙二醇750单甲醚/聚乙二醇单甲醚/聚乙二醇甲醚/甲氧基聚乙二醇/α-甲基-ω-羟基聚环氧乙烷/α-甲基-ω-羟基聚氧乙烯/MPEG 750 BR 100克 sigma分装 9004-74-4 RT
   500克 sigma分装  
Q1653 聚乙二醇1900单甲醚/聚乙二醇单甲醚/聚乙二醇甲醚/甲氧基聚乙二醇/α-甲基-ω-羟基聚环氧乙烷/α-甲基-ω-羟基聚氧乙烯/MPEG 1900 BR 100克 sigma分装 9004-74-4 RT
   500克 sigma分装  
Q1653-1 聚乙二醇2000单甲醚/聚乙二醇单甲醚/聚乙二醇甲醚/甲氧基聚乙二醇/α-甲基-ω-羟基聚环氧乙烷/α-甲基-ω-羟基聚氧乙烯/MPEG 2000 BR 250克 sigma分装 9004-74-4 RT
   500克 sigma分装  
Q1653-2 聚乙二醇5000单甲醚/聚乙二醇单甲醚/聚乙二醇甲醚/甲氧基聚乙二醇/α-甲基-ω-羟基聚环氧乙烷/α-甲基-ω-羟基聚氧乙烯/MPEG 5000 BR 250克 sigma分装 9004-74-4 RT
   1公斤 sigma分装  
Q1654 4-甲基苯甲醛/对甲基苯甲醛/对甲苯醛/p-Tolualdehyde BR,97% 100克 sigma分装 104-87-0 RT
   500克 sigma分装  
Q1655 顺乌头酸/顺式乌头酸/丙烯三甲酸/顺式1,2,3-丙烯三羧酸/cis-Aconitic acid BR,90% 1克 进分 585-84-2 保存:-20℃
   5克 进分  
   25克 进分  
Q1658 二氯异氰尿酸钠/优氯净/二氯异腈脲酸钠/1,3-二氯-1,3,5-三嗪-2,4,6-(1H,3H,5H)三酮钠盐/羊毛整理剂DC/二氯三聚异氰酸钠/二氯异三聚氰酸钠盐/消杀威/Sodium dichloroisocyanurate BR,96% 100克 进分 2893-78-9 RT
   500克 进分  
Q1659 对氯汞苯甲酸/对氯高汞苯甲酸/4-Chloromercuribenzoic acid BR,98% 5克 进分 59-85-8 RT,避光
Q1660 聚茴香磺酸钠/聚对丙烯基茴香醚钠/聚茴香脑磺酸钠/聚乙烯茴香脑磺酸钠盐/聚二硫二丙烷磺酸钠/3,3’-二硫代双-1-丙磺酸二钠盐/SPS BR,98% 5克 sigma分装 52993-95-0 RT
   25克 sigma分装 或27206-35-5 
Q1660-1 聚茴脑磺酸钠/Polyanetholesulfonic acid sodium salt BR 5克 sigma分装 55963-78-5 RT
   25克 sigma分装  
Q1661 N-羟基硫代琥珀酰亚胺/N-羟基琥珀酰亚胺磺酸钠盐/N-羟基丁二胺磺酸钠/硫代羟基琥珀酰亚胺/Sulfo-NHS BR,98% 1克 sigma分装 106627-54-7 RT,避光
   5克 sigma分装  
Q1662 8-羟基-7-碘-5-喹啉磺酸/高铁试剂/试铁灵/7-碘-8-羟基喹啉-5-磺酸/8-羟基-7-碘喹啉-5-磺酸/安特生/药特灵/喹碘方/安痢生/碘喹方/磺碘喹/Ferron BR,98.5% 5克 进分 547-91-1 RT,避光
   25克 进分  
   100克 进分  
Q1663 保险粉/连二亚硫酸钠/次亚硫酸钠/低亚硫酸钠/二硫四氧酸钠/次硫酸钠/二硫四氧酸钠/Sodium dithionite AR,88% 500克 sigma分装 7775-14-6 RT,避光
Q1664 绿原酸/氯吉酸/咖啡酰奎尼酸/咖啡单宁酸/3-咖啡酰奎尼酸/(1S,3R,4R,5R)-3-[[3-(3,4-二羟基苯基)-1-氧代-2-丙烯基]氧]-1,4,5-三羟基环己烷甲酸/氯原酸/Chlorogenic acid BR,98% 1克 sigma分装 327-97-9 RT
   5克 sigma分装  
Q1666 滑石粉/水合硅酸镁超细粉/一水硅酸镁/爽身粉/Talc BR,325目 1公斤 sigma分装 14807-96-6 RT
Q1667 虫草提取物/虫草多糖/虫草酸/Cordyceps polysaccharide BR,30% 10克 sigma分装  RT
Q1669 银杏叶/银杏叶提取物/Ginkgo biloba BR 1克 sigma分装 90045-36-6 RT
Q1671 3,4-乙烯二氧噻吩/3,4-乙撑二氧噻吩/3,4-乙烯基二氧噻吩/3,4-乙撑基二氧噻吩/2,3-二氢噻吩并(3,4-B)-1,4-二氧六环/2,3-二氢噻吩并[3,4-B][1,4]二烯/EDOT BR,98% 5克 sigma分装 126213-50-1 2~8℃
   25克 sigma分装  
   100克 sigma分装  
Q1674 邻氨基酚磺酸/3-氨基-4-羟基苯磺酸/2-氨基-1-苯酚-4-磺酸/邻氨基酚寻磺酸/2-氨基苯酚-4-磺酸/3-氨基-4-苯酚磺酸/2-氨基苯酚磺酸/邻氨基酚磺酸/2-氨基-1-苯基-4-磺酸/2-Aminophenol-4-sulfonic acid BR,98% 25克 国产 98-37-3 RT
   100克 国产  
Q1675 N-苯基硫脲/苯基硫代碳酰胺/1-苯基-2-硫脲/苯基硫脲/苯硫脲/苯硫代碳酰二胺/PTC BR,98% 5克 国产 103-85-5 RT
   25克 国产  
Q1677 硫氢化钠/硫氢化钠水合物/Sodium hydrosulfide hydrate AR,68% 100克 国产 207683-19-0 RT
   1公斤 国产  
Q1678 对羟基苯甲酸乙酯/尼泊金A/尼泊金乙酯/羟苯乙酯/4-羟基苯甲酸乙酯/对羟基安息香酸乙酯/Ethylparaben CP,99% 100克 sigma分装 120-47-8 RT
   1公斤 sigma分装  
Q1680 丙酸钙/丙酸钙盐/初油酸钙/Calcium propionate CP,98% 100克 sigma分装 4075-81-4 RT
   500克 sigma分装  
Q1681 聚甲基丙烯酸甲酯/聚(甲基丙烯酸甲酯)/2-甲基-2-丙烯酸甲酯的均聚物/聚丙烯酸酯塑料/有机玻璃/牙托粉/PMMA 特定级 100克 sigma分装 9011-14-7 RT
   500克 sigma分装  
Q1682 三氟甲磺酸/三氟甲烷磺酸/全氟甲磺酸/三氟利克酸/三氟甲基磺酸/Triflic acid BR,98% 25克 国产 1493-13-6 RT
   100克 国产  
Q1684 柠檬酸三丁酯/构缘酸三丁酯/2-羟基丙三羟酸三丁酯/柠檬酸三正丁酯/2-羟基-1,2,3-丙三羧酸三丁基酯/2-羟基丙酸羧酸三丁酯/Tributyl Citrate CP,99% 500毫升 sigma分装 77-94-1 RT
  色固 25毫升 sigma分装  
Q1685 柠檬酸三乙酯/构缘酸三乙酯/柠檬酸三正乙酯/2-羟基-1,2,3-丙三羧酸三乙酯/2-羟基-1,2,3-丙烷三羧酸三乙酯/三乙基柠檬酸/Triethyl citrate BR,98% 250毫升 sigma分装 77-93-0 RT
   1升 sigma分装  
Q1686 乙酰柠檬酸三丁酯/乙酰基柠檬酯三丁酯/乙酰基三丁基柠檬酸酯/叔丁基-邻乙酰基柠檬酸酯/2-(乙酰基)-1,2,3-丙三羧酸三丁基酯/O-乙酰基柠檬酸三丁酯/Acetyl tributyl citrate BR,98% 100毫升 sigma分装 77-90-7 RT
   500毫升 sigma分装  
Q1687 甲基丙烯酸羟乙酯/甲基丙烯酸-2-羟乙酯/2-羟基乙基甲基丙烯酸盐/乙二醇单甲基丙烯酸酯/2-羟基乙基-2-甲基-2-丙烯酸酯/α-甲基丙烯酸-2-羟乙基酯/甲基丙烯酸-2-羟基乙酯/(2-羟乙基)甲基丙烯酸酯/HEMA BR,96% 100克 sigma分装 868-77-9 2~8℃,避光
   500克 sigma分装  
Q1688 硝酸铈/硝酸亚铈/硝酸铈六水合物/硝酸铈(III)六水合物/Cerous nitrate hexahydrate AR,99% 100克 sigma分装 10294-41-4 RT
Q1690 磷酸苯二钠/磷酸苯酯二钠盐/苯基磷酸二钠盐/磷酸一苯酯二钠盐/磷酸苯基二钠/Disodium phenyl phosphate hydrate CP,85% 25克 sigma分装 3279-54-7 2~8℃
Q1691 吖啶酮/茚酮/氮蒽酮/9(10H)吖啶酮/9-吖啶酮/9(10H)蒽醇/Acridone BR,98% 1克 sigma分装 578-95-0 RT
   5克 sigma分装  
   25克 sigma分装  
Q1693 XTT钠盐/3,3'-[1-(苯氨酰基)-3,4-四氮唑]-二(4-甲氧基-6-硝基)苯磺酸钠/2,3-双(2-甲氧基-4-硝基-5-磺苯基)-2H-四唑-5-甲酰胺内盐/XTT sodium salt 超纯,90% 50毫克 sigma分装 111072-31-2 2~8℃
   250毫克 sigma分装  
Q1694 噻吩-2-羧酸酰肼/噻吩-2-羧酸肼/2-噻吩羧酸肼/2-噻吩甲酰肼/2-噻吩碳酰肼/噻吩-2-碳酸肼/2-噻吩甲酸肼/2-噻吩羧基肼/TCH BR,98% 1克 sigma分装 2361-27-5 RT
   5克 sigma分装  
   25克 sigma分装  
Q1695 对氯苯甲醛/4-氯苯甲醛/PCAD BR,98% 100克 sigma分装 104-88-1 RT
   500克 sigma分装  
Q1696 聚氧乙烯蓖麻油EL/聚氧乙烯醚(35)蓖麻油/蓖麻油聚氧乙烯醚/乙氧基化蓖麻油/蓖麻油聚氧乙烯醚40/Cremophor EL BR,PH6-8 250毫升 sigma分装 61791-12-6 RT
   1升 sigma分装  
Q1698 三正辛胺/三辛胺/N,N-二辛基-1-辛胺/三辛基胺/TOA AR,90% 100毫升 sigma分装 1116-76-3 RT,避光
  高纯,98% 25毫升 sigma分装  
   100毫升 sigma分装  
   500毫升 sigma分装  
  离子对色谱专用,98% 5毫升 sigma分装  
   25毫升 sigma分装  
Q1699 特丁醇铝/叔丁醇铝/叔丁氧基铝/叔丁基氧化铝/第三丁基氧化铝/三叔丁氧基铝/Aluminum tert-butoxide BR,97% 5克 进分 556-91-2 RT,避光
   25克 进分  
Q1700 五氯硝基苯/硝基五氯苯/土粒散/五氯硝基苯原粉/掘地生/五氯硝苯/PCNB BR,95% 25克 sigma分装  82-68-8 RT
   100克 sigma分装  
   500克 sigma分装  
  高纯,99% 5克 sigma分装  
Q1701 1,1-二苯基-2-苦基肼/1,1-二苯-2-苦基肼/1,1-二苯基-2-苦味基肼自由基/2,2-联苯基-1-苦基肼基/α, α-二苯基-β-苦基肼基/1,1-二苯-2-苦肼基/2,2-二苯基-1-苦基肼/2,2-二苯基-1-苦肼基/DPPH BR,96% 250毫克 sigma分装 1898-66-4 2~8℃
   1克 sigma分装  
Q1701-1 白藜芦醇/芪三酚/3,4',5-三羟基芪/(E)-5-[2-(4-羟苯基)-乙烯基]-1,3-苯二酚/淫羊藿素/Resveratrol BR,98% 5克 sigma分装 501-36-0 2~8℃
   25克 sigma分装  
  分析标准品,98% 20毫克 sigma分装  
Q1702 2-硫脲嘧啶/2-硫尿嘧啶/硫脲嘧啶/2,3-二氢-2-硫代-4(1H)-嘧啶酮/2-硫代尿嘧啶/硫代由雪/硫代二羟嘧啶/硫脲间氮苯/2-Thiouracil BR,98% 25克 sigma分装 141-90-2 RT
   100克 sigma分装  
Q1703 氯化钨/六氯化钨/氯化钨(VI)/Tungsten hexachloride BR,99% 25克 国产 13283-01-7 RT,避光
   100克 国产  
   500克 国产  
  高纯,99.9% 10克 国产  
   50克 国产  
Q1704 乙烯基异丁基醚/异丁基乙烯基醚/乙烯基异丁醚/1-(乙烯氧基)-2-甲基丙烷/异丁氧基乙烯/异丁基乙烯醚/乙烯异丁醚/Isobutyl vinyl ether CP,99% 250毫升 国产 109-53-5 RT
   1升 国产  
  AR,99.5% 100毫升 国产  
   500毫升 国产  
Q1707 2,4,6-三吡啶基三嗪/2,4,6-三(2-吡啶基)-1,3,5-三嗪/2,4,6-三(2-吡啶基)均三嗪/2,4,6-三(2-吡啶基)三嗪/2,4,6-反式2-吡啶基三嗪/TPTZ BR,98% 1克 sigma分装 3682-35-7 2~8℃
   5克 sigma分装  
   25克 sigma分装  
Q1708 紫杉醇/浆果赤霉素III/Paclitaxel 分析标准品,98% 20毫克 sigma分装 33069-62-4 RT,避光
  分析标准品,99% 10毫克 sigma分装  
Q1709 雌二醇/β-雌二醇/雌甾二醇/雌甾-1,3,5-(10)-三烯-3β,17β-二醇/β-1,3,5(10)-三烯-3,17β-二醇/3,17β-二羟基-1,3,5(10)-雌甾三烯-3,17β-二醇/β-雌激素/Estradiol BR,98% 1克 国产 50-28-2 RT
   5克 国产  
   25克 国产  
Q1710 六甲基二硅胺烷/六甲基二硅亚胺/六甲基二硅胺/六甲基二硅氮烷/1,1,1-三甲基-N-(三甲基甲硅烷基)硅烷胺/六甲基二硅烷胺/HMDS AR,98% 100毫升 国产 999-97-3 RT
   500毫升 国产  
Q1711 乙酰羟肟酸乙酯/N-羟基乙酰亚胺酸乙酯/Ethyl acetohydroxamate BR,97% 5克 sigma分装 10576-12-2 RT
   25克 sigma分装  
Q1712 菲/1,2-苯并萘/Phenanthrene BR,95% 25克 sigma分装 CAS:85-01-8 RT
   100克 sigma分装  
   500克 sigma分装  
  高纯,97% 25克 sigma分装  
   100克 sigma分装  
  GCS 1克 sigma分装  
Q1715 氧化钡/无水氧化钡/重土/钡氧重土/一氧化钡/Barium oxide AR,97% 500克 国产 1304-28-5 RT
  高纯,99% 500克 国产  
  超纯,99.5% 500克 国产  
Q1716 过硼酸钠/高硼酸钠/四水合高硼酸钠/四水合过硼酸钠盐/Sodium perborate tetrahydrate CP,94% 500克 国产 10486-00-7 RT
Q1716-1 过硼酸钠一水物/高硼酸钠一水物/Sodium perborate monohydrate AR,99% 500克 国产 10332-33-9 RT
Q1717 对碘苯酚/4-碘苯酚/对碘酚/4-碘酚/4-Iodophenol BR,98% 5克 sigma分装 540-38-5 RT,避光
   25克 sigma分装  
   100克 sigma分装  
Q1718 对苯基苯酚/对苯基酚/对羟基联苯/4-羟基联苯/4-联苯酚/(1,1'-二苯基)-4-酚/4-苯基苯酚/4-苯基酚/4-苯酚/4-Hydroxybiphenyl BR,99% 25克 sigma分装 92-69-3 RT,避光
   100克 sigma分装  
   500克 sigma分装  
Q1719 三缩四乙二醇/四甘醇/四缩乙二醇/聚乙二醇-4/TEG AR,99% 500克 sigma分装 112-60-7 RT
   2.5公斤 sigma分装  
Q1720 木质素磺酸钠/分散剂CMN/分散剂M-9/木素磺酸钠/木质磺素钠/木质磺酸钠/Sodium lignosulfonate BR,96% 100克 sigma分装 8061-51-6 RT
   500克 sigma分装  
Q1721 安息香胶/安息香浸膏/安息香酊/Gum benzoin BR 100克 sigma分装 9000-72-0 RT
Q1723 龙脑/2-莰醇/冰片/龙胆/合成龙脑/内型-1,7,7-三甲基-二环[2.2.1]庚-2-醇/樟醇/钓樟醇/外-2-莰醇/异龙脑/Borneol BR,55% 100克 国产 507-70-0 RT
   500克 国产  
  分析标准品,98% 20毫克 国产  
Q1724 松香酸/1,2,3,4,4a,4b,5,6,10,10a-十氢化-1,4a-二甲基-7-异丙基-1-菲甲酸/枞酸/松脂酸/熟松香/树脂酸/Abietic acid BR,75% 25克 sigma分装 514-10-3 2~8℃
   100克 sigma分装  
Q1725 三聚氯氰/2,4,6-三氯-1,3,5-三嗪/三聚氰酰氯/氰脲酰氯/氰尿酰氯/三聚氯化氰/三氯三聚氰/Cyanuric chloride BR,98% 250克 进分 108-77-0 RT
   1公斤 进分  
Q1726 2-乙烯吡啶/2-乙烯基吡啶/乙烯基吡啶单体/2-乙烯基氮苯/2-吡啶基乙烯/2-VP BR,97% 100毫升 国产 100-69-6 保存:-20℃
   500毫升 国产  
Q1727 1,1,2-三氯三氟乙烷/ 1,1,2-三氟-1,2,2-三氯乙烷/氟利昂-113/1,1,2-三氟三氯乙烷/三氯三氟代乙烷/1,1,2-Trichlorotrifluoroethane AR,99.9% 250毫升 sigma分装 76-13-1 RT
Q1728 硫酸铬/六水硫酸铬/硫酸铬(Ⅲ)六水/Chromium(III) sulfate hexahydrate CP,98% 500克 sigma分装 10101-53-8 RT
   25公斤 sigma分装  
Q1728-1 硫酸铬溶液/无水硫酸铬/硫酸铬(III)/Chromium(III) sulfate CP,38% 500克 sigma分装 15244-38-9 RT
Q1729 阿魏酸乙酯/4-羟基-3-甲氧基肉桂酸乙酯/Ethyl ferulate BR,97% 5克 sigma分装 4046-02-0 RT,避光
   25克 sigma分装  
Q1730 亚硝酸二环己胺/亚硝酸二环已胺/N-环己基环己胺亚硝酸盐/二环己胺亚硝酸盐/二环己胺亚硝酸/Dicyclohexylammonium nitrite CP,98% 250克 国产 3129-91-7 RT
Q1731 大豆油/豆油/Soybean oil BR 250毫升 sigma分装 8001-22-7 2~8℃
   1升 sigma分装  
Q1732 戊四唑/1,5-五甲基烯四唑/戊四氮/五甲烯四氮唑/卡地阿唑/戊撑四唑/1,5-五亚甲基-1H-四唑/6,7,8,9-四氢-5H-四唑并氮杂卓/可拉佐/戊四氨/Pentetrazol BR,98% 5克 进分 54-95-5 2~8℃
   25克 进分  
Q1733 鞣花酸/棓原/逆没食子酸/二缩双(三羟基甲酸)/2,3,7,8-四羟基-[1]-苯并吡喃并[5,4,3-CDE][1]苯并吡喃-5,10-二酮/柔花酸/二缩双(三羟基苯甲酸)/Ellagic acid BR,96% 5克 sigma分装 476-66-4 RT,避光
   25克 sigma分装  
Q1734 聚乙烯醇缩甲醛溶胶/聚乙烯醇缩甲醛/PVF BR,1% 100毫升 sigma分装 63148-64-1 RT
Q1735 硫酸二乙酯/硫酸乙酯/二乙基硫酸/Diethyl sulfate CP,99% 500毫升 国产 64-67-5 RT,避光
Q1736 尿酸/2,6,8-三羟基嘌呤/7,9-二氢-2,6,8(3H)三酮-1H-嘌呤/2,6,8,-三羟基尿杂环/三氧化嘌呤/Uric acid BR,99% 25克 sigma分装 69-93-2 RT
   100克 sigma分装  
Q1737 芘/必/嵌二萘/苯并(d,e,f)菲/苾/Pyrene BR,98% 25克 国产 129-00-0 RT
   100克 国产  
Q1738 甲基环戊烯醇酮/3-甲基环戊烷-1,2-二酮/3-甲基-1,2-环戊二酮/2-羟基-3-甲基-2-环戊烯酮/3-Methyl-1,2-cyclopentanedione BR,98% 25克 sigma分装 765-70-8 RT
   100克 sigma分装  
Q1739 6-正丙基-2-硫代尿嘧啶/丙基硫氧嘧啶/丙硫氧嘧啶/6-丙基-2-巯基-4-羟基嘧啶/6-丙基-2-硫代-2,3-二氢-4(1H)-嘧啶酮/丙基硫尿嘧啶/6-丙基-2-硫代尿嘧啶/4-羟基-2-巯基-6-丙基嘧啶/Propylthiouracil BR,98% 25克 sigma分装 51-52-5 RT
   100克 sigma分装  
Q1740 桔皮素/5,6,7,8,4'-五甲氧基黄酮/3ˊ-5,7-三羟基-4ˊ-甲氧基黄烷酮/橙皮黄素/蜜桔黄酮/橘皮素/桔皮素提取物/Tangeretin BR,98% 100毫克 国产 481-53-8 2~8℃,避光
   1克 国产  
  标准品,99% 20毫克 国产  
Q1741 醛固酮/醛甾酮/醛固醇酮/Aldosterone BR,98.5% 5毫克 sigma分装 52-39-1 2~8℃
Q1742 原乙酸三甲酯/1,1,1-三甲氧基乙烷/乙酸三甲酯/三甲氧基乙烷/Trimethyl orthoacetate BR,98% 25毫升 国产 1445-45-0 RT
   100毫升 国产  
   500毫升 国产  
Q1743 人参皂苷Rb1/人参皂甙Rb1/Ginsenoside Rb1 分析标准品,98% 20毫克 sigma分装 41753-43-9 RT
Q1744 人参皂苷Rb2/人参皂甙Rb2/Ginsenoside Rb2 分析标准品,98% 20毫克 sigma分装 11021-13-9 RT
Q1744-1 人参皂苷Rb3/人参皂甙Rb3/Ginsenoside Rb3 分析标准品,98% 20毫克 sigma分装 68406-26-8 RT
Q1745 人参皂苷Rg1/人参皂甙Rg1/Ginsenoside Rg1 分析标准品,98% 20毫克 sigma分装 22427-39-0 RT
   1克 sigma分装  
Q1746 人参皂苷Rg2/人参皂甙Rg2/Ginsenoside Rg2 分析标准品,98% 20毫克 sigma分装 52286-74-5 RT
Q1747 人参皂苷Rg3/人参皂甙Rg3/Ginsenoside Rg3 分析标准品,98% 20毫克 sigma分装 14197-60-5 RT
Q1748 人参皂苷Re/人参皂甙Re/Ginsenoside Re 分析标准品,98% 20毫克 sigma分装 52286-59-6 RT
   1克 sigma分装  
Q1749 人参皂苷Rc/人参皂甙Rc/Ginsenoside Rc 分析标准品,98% 20毫克 sigma分装 11021-14-0 RT
Q1750 人参皂苷Rd/人参皂甙Rd/Ginsenoside Rd 分析标准品,98% 20毫克 sigma分装 52705-93-8 RT
Q1751 人参皂苷Rf/人参皂甙Rf/Ginsenoside Rf 分析标准品,98% 20毫克 sigma分装 52286-58-5 RT
Q1752 人参皂苷Rh1/人参皂甙Rh1/Ginsenoside Rh1 分析标准品,98% 20毫克 sigma分装 63223-86-9 RT
Q1753 人参皂苷Rh2/人参皂甙Rh2/Ginsenoside Rh2 分析标准品,98% 20毫克 sigma分装 78214-33-2 RT
信息声明:本产品供应信息由仪器网为您整合,供应商为(上海极威生物科技有限公司),内容包括 (人胚肺转化细胞SL-1细胞 人胚肺转化细胞SL-1细胞)的品牌、型号、技术参数、详细介绍等;如果您想了解更多关于 (人胚肺转化细胞SL-1细胞 人胚肺转化细胞SL-1细胞)的信息,请直接联系供应商,给供应商留言!
供应商产品推荐
    您可能感兴趣的产品