Clark 曝光Marker 100ul
- 品牌:Clarkbio
- 型号:100ul
- 供应商:苏州远东普惠生物技术有限公司
- 供应商报价:¥340
- 标签:Clark 曝光Marker 100ul、Clark 曝光Marker 100ul价格、Clark 曝光Marker 100ul厂家、、、苏州远东普惠生物技术有限公司
Clark公司的蛋白Marker有两款:一款是市场常见,但是Clark更具性价比的预染色蛋白Marker;另一款是市场上极少见到,却是western blot过程中经常用的曝光Marker。
曝光Marker(Exposure Marker)条带能够与IgG恒定区结合,因此可以在X胶片上曝光显色。曝光Marker(Exposure Marker)可以作为对照,提示解决Western blot试验中的一切问题。
【描述】
曝光Marker(Exposure Marker)是Clarkbio专门为WesternBlot实验开发的专用标准分子量蛋白Marker,该产品克服了使用常规Prestainedprotein Markers评估蛋白转膜效率和样品抗原信号时所存在的一些不足。
这些不足主要表现为:
1、Prestainedprotein markers经过化学修饰后分子量与SDS-PAGE上表现的迁移率不一致;
2、Prestainedprotein markers无法在X光胶片上显色,X光胶片上显色的条带需要与转移到膜上的Prestainedprotein Markers比对才能确认蛋白的位置和大小,整个过程比较繁琐同时容易造成误差甚至是错误。
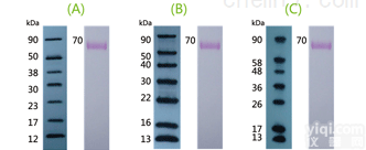
Exposure Marker WesternBlot 标准分子量蛋白由8种不同分子量的蛋白(12、17、23、30、38、50、70、90kDa)组成。其中70kDa的蛋白为预染紫色蛋白,可在电泳过程中直观的观察电泳时蛋白的迁移情况以及在转膜时评估蛋白的转移效率。其它7种蛋白都可以与人、小鼠、大鼠、山羊、绵羊以及兔子来源的IgG恒定区结合,因此在实验过程中这些蛋白可以直接或间接地结合二抗,与实验样品信号同时在X胶片上曝光显色。由此可以方便准确地判断实验样品信号的位置和大小。
【储存条件】:-10℃到-30℃。避免反复冻融。
【运输条件】:可以室温运输。收到后请及时放到储存条件下储存。
【储存液】:125 mM Tris-HCl,pH 6.8, 10 mM DTT, 2 mM EDTA, 2 % (W/V) SDS, 10 % (W/V) Glycerol, 0.01 % (W/V)Bromophenol blue
【问题分析】
| 问题 | 原因 | 建议 |
| 背景较高 | 封闭不充分 | 延长封闭时间,选择合适的封闭液 |
| 印迹膜或转膜缓冲液被污染 | 确保操作过程中无污染,戴手套 | |
| 一抗稀释倍数不当 | 调整的稀释度 | |
| 一抗孵育时的温度较高 | 建议4℃孵育过夜 | |
| 曝光时间过长 | 缩短曝光时间 | |
| 信号弱或无信号 | ECL工作液不工作 | 使用有效的ECL工作液 |
| 转移不完全或过转移 | 优化转膜时间及转膜电流 | |
| 抗体无效或孵育时间过短 | 更换新抗体或延长孵育时间 | |
| Marker上样量较低 | 通过预实验确定合适的上样量 | |
| 条带太浓或太杂 | 抗体过量 | 优化抗体的剂量 |
| Marker上样量较高 | 减少Marker的上样量 | |
| 非特异性结合 | 提高封闭效率以及选择特异性较高的抗体 | |
| 曝光时间过长 | 缩短曝光时间 |