产品库

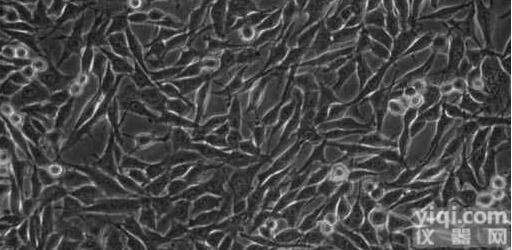
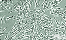
人肺癌细胞,SPC-A-1细胞 人肺癌细胞,SPC-A-1细胞

产品信息

人肺癌细胞,SPC-A-1细胞


素尔细胞库提供遗传变异细胞系、正常组织来源细胞系、肿瘤细胞系、工程细胞系、干细胞系,涉及人类,大鼠、小鼠、鸟类、仓鼠、鱼类、猫类、狗、牛、貂、猪、恒河猴、长鼻袋鼠等。


人肺癌细胞,SPC-A-1细胞

 成纤维细胞排除法

1、机械刮除法:

是用不锈钢丝末端插有橡胶刮头(用胶塞剪成三角形插以不锈钢丝)、或裹少许脱脂棉制成,装入试管中高压灭菌后备用(也可用特制电热烧灼器刮除)。刮除程序为:

(1)标记:镜下观察,用不脱色笔在培养瓶皿的背面圈下生长肿瘤细胞的部位;

(2)刮除:弃掉培养液,把无菌胶刮伸入瓶皿中,肉眼或显微镜窥视下,刮除无标记空间;

(3)用Hanks液冲洗一两次,洗除被刮掉的细胞;

(4)注入培养液继续培养,如发现仍有成纤维细胞残留,可重复刮除至完全除掉为止

2、反复贴壁法:

根据肿瘤细胞比成纤维细胞贴壁速度慢的特点,并结合使用不加血清的营养液,把含有两类细胞的细胞悬液反复贴壁,使两类细胞相互分离,操作方法与传代相同。

(1)待细胞生长达一定数量后,倒出旧培养液,用胰酶消化后,Hanks 冲洗2次,加入不含血清的培养液,吹打制成细胞悬液;

(2)取编号为此A、B、C三个培养瓶;首先把悬液接种入A培养瓶中。置温箱中静止培养5~20分钟后,轻轻倾斜培养瓶,让液体集中瓶角后慢慢吸出全部培养液,再接种入B培养瓶中后;向A瓶中补充少许完全培养液置温箱中继续培养;

(3)培养B瓶中细胞5~20分钟后,接处理A的方法,把培养液注入C培养瓶中;再向B瓶中补加完全培养基。


当三个瓶内都含有培养液后,均在温箱中继续培养。如操作成功,次日观察可见A瓶主要为成纤维细胞,B瓶两类细胞相杂,C瓶可能主要为癌细胞。必要时可反复处理多次,直至癌细胞纯化为止。

3、消化排除法:

此法曾用于乳癌细胞的培养,具体程序是:

(1)先是用0.5%胰蛋白酶和0.02%EDTA(1:1)混合液漂洗培养细胞一次,然后再换成新的混合液继续消化,并在倒置显微镜下窥视和不时摇动培养瓶,到半数细胞脱落下来后,便立即停止消化;

(2)把消化液吸入离心管中,离心去上清,吸入另瓶中,加培养液置温箱中培养;向原瓶内也补加新的培养液继续培养。用此法处理后,成纤维细胞比肿瘤细胞易先脱落。经过几次反复处理,可能把成纤维细胞除净。

4、胶原酶消化法:

本法是利用成纤维细胞对胶原酶较为敏感的特点,通过消化进行选择。

(1)可用0.5mg/ml的胶原酶消化处理,边消化边在倒置显微镜下窥视,当发现成纤维细胞被除掉后,即终止消化;


(2)用Hanks洗涤处理一次后,更换新培养液,继续培养,可获纯净肿瘤细胞。如成纤维细胞未被除净,可再次重复。人肺癌细胞,SPC-A-1细胞


SUER0002(XR)  QBC939细胞,人胆管癌细胞


SUER0003(XR)  CA46细胞,人Burkitts淋巴瘤细胞


SUER0004(XR)  NAMALWA细胞,人Burkitt's淋巴瘤细胞


SUER0005(XR)  Raji细胞,人Burkitt's淋巴瘤细胞


SUER0006(XR)  EB-3细胞,人Burkitt淋巴瘤细胞


SUER0007(XR)  Farage细胞,人B淋巴瘤细胞


SUER0008(XR)  RAMOS细胞,人B淋巴瘤细胞


SUER0009(XR)  RAMOS (RA 1)细胞,人B淋巴瘤细胞


SUER0010(XR)  P3HR1细胞,人EBV阳性B淋巴瘤细胞


SUER0011(XR)  C666-1细胞,人EBV阳性鼻咽癌系细胞


SUER0012(XR)  JVM-2细胞,人EB病毒感染的外周淋巴细胞


SUER0013(XR)  SUP-B15细胞,人Ph+急淋白血病系细胞


SUER0014(XR)  6T-CEM细胞,人T白血病细胞


SUER0015(XR)  A3细胞,人T淋巴白血病细胞


SUER0016(XR)  HuT 78细胞,人T淋巴白血病细胞


SUER0017(XR)  HuT 102细胞,人T淋巴瘤细胞


SUER0018(XR)  SF-295细胞,人XG恶性胶质瘤细胞


SUER0019(XR)  NKM-1细胞,人白血病细胞


SUER0020(XR)  NOMO-1细胞,人白血病细胞


SUER0021(XR)  CNE细胞,人鼻咽癌细胞


SUER0022(XR)  CNE-1细胞,人鼻咽癌细胞


SUER0023(XR)  CNE2细胞,人鼻咽癌细胞


SUER0024(XR)  CNE-2Z细胞,人鼻咽癌细胞


SUER0025(XR)  HK-1细胞,人鼻咽癌细胞


SUER0026(XR)  HNE1细胞,人鼻咽癌细胞


SUER0027(XR)  HNE2细胞,人鼻咽癌细胞


SUER0028(XR)  HNE3细胞,人鼻咽癌细胞


SUER0029(XR)  HONE1细胞,人鼻咽癌细胞


SUER0030(XR)  CNE-1/14细胞,人鼻咽癌/DDP 耐药细胞


SUER0031(XR)  HNE2-LMP1细胞,人鼻咽癌系细胞


SUER0032(XR)  SUNE-1?细胞,人鼻咽低分化鳞癌株细胞


SUER0033(XR)  A-431细胞,人表皮癌细胞


SUER0034(XR)  A431-A细胞,人表皮癌细胞


SUER0035(XR)  Saos-2细胞,人成骨肉瘤细胞


SUER0036(XR)  MEG-01细胞,人成巨核白血病细胞


SUER0037(XR)  CRL-2149细胞,人成神经瘤-骨髓细胞


SUER0038(XR)  PA319 细胞,人大肠癌细胞


SUER0039(XR)  NCI-H460细胞,人大肺癌细胞


SUER0040(XR)  NCI-H661细胞,人大肺癌细胞


SUER0041(XR)  GBC-SD细胞,人胆囊癌细胞


SUER0042(XR)  FRO细胞,人低分化甲状腺癌细胞


SUER0043(XR)  WRO细胞,人低分化甲状腺癌细胞


SUER0044(XR)  MHCC97-L细胞,人低转移肝癌细胞


SUER0045(XR)  NCI-H1688细胞,人典型小肺癌细胞


SUER0046(XR)  U226细胞,人多发性骨髓瘤细胞


SUER0047(XR)  NTERA-2细胞,人恶性多发性畸胎瘤细胞


SUER0048(XR)  NK-92细胞,人恶性非霍奇金淋巴瘤患者的自然杀伤细胞


SUER0049(XR)  NK-92MI细胞,人恶性非霍奇金淋巴瘤患者的自然杀伤细胞


SUER0050(XR)  A-375细胞,人恶性黑色素瘤细胞


SUER0051(XR)  U87-MG细胞,人恶性脑胶质瘤细胞


SUER0052(XR)  RD细胞,人恶性胚胎横纹肌瘤细胞


SUER0053(XR)  A-673细胞,人非小肺癌细胞


SUER0054(XR)  H1299细胞,人非小肺癌细胞


SUER0055(XR)  H1650-M3细胞,人非小肺癌细胞


SUER0056(XR)  H322细胞,人非小肺癌细胞


SUER0057(XR)  HCC827细胞,人非小肺癌细胞


SUER0058(XR)  NCI-H1299细胞,人非小肺癌细胞


SUER0059(XR)  NCIH1650-M3细胞,人非小肺癌细胞


SUER0060(XR)  NCI-H524细胞,人非小肺癌细胞


SUER0061(XR)  NCI-H838细胞,人非小肺癌细胞


SUER0062(XR)  NCI-H1650细胞,人非小肺癌细胞


SUER0063(XR)  NCI-H23细胞,人非小肺癌细胞


SUER0064(XR)  NCI-H358细胞,人非小肺癌细胞


SUER0065(XR)  NCI-H157细胞,人非小肺腺癌细胞


SUER0066(XR)  NCI-H2087细胞,人非小肺腺癌细胞


SUER0067(XR)  CHMAS细胞,人肥大白血病细胞


SUER0068(XR)  A-427细胞,人肺癌细胞


SUER0069(XR)  Calu-1细胞,人肺癌细胞


SUER0070(XR)  PC14细胞,人肺癌细胞


SUER0071(XR)  PC9细胞,人肺癌细胞


SUER0072(XR)  SPC-A-1细胞,人肺癌细胞


SUER0073(XR)  NCI-H292细胞,人肺癌(淋巴结转移)细胞


人肺癌细胞,SPC-A-1细胞

5、其它方法:

有人发现聚丙烯酰胺有YZ成纤维细胞生长的作用;也有人用聚蔗糖制备成比重1.025~1.085的密度梯度离心液,加入细胞悬液后,在23℃中800g离心 10分种。在比重1.025~1.050层为成纤维细胞,在比重1.050~1.085层为上皮细胞,再经过分离进行培养。近也有人应用特殊化学物如SODYZ成纤维细胞生长的方法。

选用上述任何一种方法,都需进行试验,取得必要经验,找出适合的条件,才能获得好的效果。

四、提高肿瘤细胞培养存活率和生长率措施

根据人们的经验,肿瘤细胞在体外不易培养,建立能传代的肿瘤细胞系更为困难。当肿瘤组织或细胞初代接种培养后,常出现以下几种情况:

完全无细胞游出或移动;

有细胞移动和游出,但无细胞增殖,细胞长时间处于停滞状态以致难以传代;

六、对肿瘤细胞系或细胞株的评价

已建成的各种肿瘤细胞系或细胞株,无疑都是可用的实验对象。近年我国已建成的肿瘤细胞系已非常多,并获得越来越广泛的应用。但根据研究者的经验,在使用这些细胞系时,应持特别审慎态度,主要是应考虑到这些细胞在长期传代中有否发生遗传性改变的可能。众所周知,长期传代细胞系染色体核型常是不稳定的。另外也可能发生如基因突变、基因易位或缺失等变化。其结果可能导致细胞产生生物学性状上的变动。以近年建成的各种肿瘤细胞系为例,都已传代少则几十,多则百代以上后,才确认建成了细胞系。这种情况下很难保证细胞从初代到建成时的性状仍是一致的。

已如前述,癌细胞在培养中并非能很顺利地传下去,凡已长期传代的细胞系,都已获得不死性。当前尚未完全确证所有癌细胞都具有不死性;因此尚难肯定在长期培养中的癌细胞的生物学性状与体内时仍完全相同(包括不死性)。据上述对用癌细胞系所获实验结果应尽量做分析性的结论,避免做概括性的与体内等同的结论,外推与体内等同更是不妥的。广泛来说,应用各种较长时间培养细胞做实验时,都应如此


人肺癌细胞,SPC-A-1细胞


信息声明:本产品供应信息由仪器网为您整合,供应商为(上海素尔生物科技有限公司),内容包括 (人肺癌细胞,SPC-A-1细胞 人肺癌细胞,SPC-A-1细胞)的品牌、型号、技术参数、详细介绍等;如果您想了解更多关于 (人肺癌细胞,SPC-A-1细胞 人肺癌细胞,SPC-A-1细胞)的信息,请直接联系供应商,给供应商留言!
供应商产品推荐
    您可能感兴趣的产品