产品库

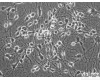
Hacat细胞

产品信息

  • 细胞名称:Hacat    人永生化角质形成细胞
    组织来源:皮肤
    培养条件:DMEM +10% FBS
    形      态:贴壁;上皮细胞样
    背      景:该细胞源自一位62岁患有黑色素瘤男性的病灶外围正常皮肤,角蛋白、角化细胞交联外膜蛋白、中间丝相关蛋白阳性。


    购买细胞注意事项:
    1. 收到细胞后首先观察细胞瓶是否完好,培养液是否有漏液、浑浊等现象,若有上述现象发生请及时和我们联系。
    2. 仔细阅读细胞说明书,了解细胞相关信息,如细胞形态、所用培养基、血清比例、所需细胞因子等。
    3. 用75%酒精擦拭细胞瓶表面,显微镜下观察细胞状态。因运输问题贴壁细胞会有少量从瓶壁脱落,将细胞置于培养箱内静置培养过夜,隔天再取出观察。此时多数细胞均会贴壁,若细胞仍不能贴壁请用台盼蓝染色测定细胞活力,如果证实细胞活力正常,请将细胞离心后用新鲜培养基再次贴壁培养;如果染色结果显示细胞无活力,请拍下照片及时和我们联系,信息确认后我们为您再免费寄送一次。

    4. 建议客户收到细胞后前3天各拍几张细胞照片,记录细胞状态,便于和技术部沟通交流。


    贴壁细胞常规培养传代流程(请严格遵照无菌操作

    1. 弃去培养上清,用不含钙、镁离子的PBS润洗细胞1-2次。

    2. 加2ml消化液(0.25%Trypsin-0.53mM EDTA)于培养瓶中,置于37℃培养箱中消化1-2分钟,然后在显微镜下观察细胞消化情况,若细胞大部分变圆并脱落,迅速拿回操作台,轻敲几下培养瓶后加5-6ml完全培养基终止消化。

    3. 按6-8ml/瓶补加培养基,轻轻打匀后吸出,在1000RPM条件下离心5分钟,弃去上清液,补加1-2mL培养液后吹匀。

    4. 将细胞悬液按1:2到1:5的比例分到新的含8ml培养基的新皿中或者瓶中。


    悬浮细胞常规培养传代流程(请严格遵照无菌操作

    方法一:收集细胞,1000RPM条件下离心5分钟,弃去上清液,补加1-2mL培养液后吹匀,将细胞悬液按1:2到1:5的比例分到新的含8ml培养基的新皿中或者瓶中。

    方法二:可选择半数换液方式,弃去半数细胞培养基后,将剩余细胞悬起,将细胞悬液按1:2到1:3的比例分到新的含8ml培养基的新皿中或者瓶中。

  • 信息声明:本产品供应信息由仪器网为您整合,供应商为(上海盖宁生物科技有限公司),内容包括 (Hacat细胞)的品牌、型号、技术参数、详细介绍等;如果您想了解更多关于 (Hacat细胞)的信息,请直接联系供应商,给供应商留言!
    供应商产品推荐
      您可能感兴趣的产品