产品库

技术服务-病理形态学

产品信息
  • 病理形态学:6项
    HE染色、病理特殊染色、
    免疫组化、免疫细胞化学、免疫荧光/共聚焦染色
    凋亡TUNEL染色、
    细胞Hoechst凋亡染色

    南科生物提供组织蜡块包埋、组织切片、HE染色、病理特殊染色、细胞培养、细胞爬片、免疫组织化学IHC,免疫细胞化学ICC、免疫荧光IF、激光共聚焦照相、细胞凋亡TUNEL染色等形态学方面的实验技术服务,包括实验材料提供(组织、细胞、抗体等)、课题设计与实验操作、图片采集与结果评价等方面的技术服务。  南科生物多年以来已建立一批人体各器官正常组织、肿瘤组织与肿瘤旁旁组织的蜡块库和一批常用人、大鼠、小鼠细胞株库存以供选择使用。客户可选择由南科生物提供实验材料或者自己提供材料,我们负责完成组织包埋处理、石蜡切片、细胞培养、细胞爬片、染色、图片采集、数据测定等全套技术服务。
    分项简要说明:
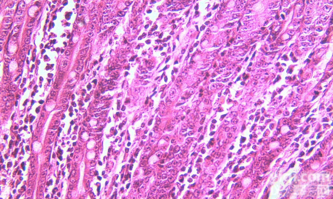
    HE染色:苏木精-伊红染色(Hematoxylin and Eeosin staining)简称HE染色,是组织胚胎学、病理学、肿瘤学等多门学科研究中Z基础、使用Z广泛的技术方法。苏木精染液为碱性,主要使细胞核内的染色质与胞质内的核糖体着紫蓝色;伊红为酸性染料,主要使细胞质和细胞外基质中的成分着红色。在制作质量较好的切片上,可以观察到各种组织或细胞的一般形态结特点。
      
    病理特殊染色:为识别组织细胞中各种不同的组分(胶原、网状纤维、弹性纤维、肌肉、纤维素、淀粉等),利用各种染料进行染色的方法,简称特染。主要的方法有Masson三色染色法(胶原组织显示为蓝绿色)、网状纤维染色银染(网状纤维显示为黑色)、磷钨酸苏木素染色法(横纹肌显示为蓝色)、六胺银法(基底膜显示为深黑色)等方法,病理特染是进行辅助诊断或病理科研的必要和快捷的方法之一。
      
    免疫组化、免疫细胞化学、免疫荧光/共聚焦染色:免疫组化和免疫荧光是根据抗原抗体反应和化学显色原理,组织切片或细胞标本中的抗原首先和一抗结合,再利用一抗与标记生物素、荧光素(如绿色荧光素FITC、Flour 488,橙红荧光素CY3、红色荧光素罗丹明Rhodamine B)等的二抗进行反应,前者再用标记辣根过氧化物酶(HRP)或碱性磷酸酶(AKP)等的抗生物素(如链霉亲和素等)结合,通过呈色反应或不同颜色的荧光来显示细胞或组织中化学成分,在光学显微镜或荧光显微镜下可清晰看见细胞内发生的抗原抗体反应产物所显示的颜色,从而在细胞爬片或组织切片上各种抗原物质(如蛋白质、多肽、酶、激素、病原体以及受体等)在组织细胞水平(细胞核、细胞浆、细胞膜)甚至亚细胞水平(线粒体、内质网、自嗜体等)上的定性、定位、定量,所以又称为免疫组织化学(immunohistochemistry)或免疫细胞化学(immunocytochemistry)。以上2种方法依据二抗标记的不同分为免疫组化和免疫荧光方法,免疫组化为Z常见的实验方法,适用于绝大多数实验研究、可以较清晰的观察组织细胞结构关系以及显色定位,免疫荧光对于检测抗原要求较高,原则上要求新鲜组织或细胞进行检测,少数石蜡包埋组织可以通过抗原修复的方法检测到信号。
      
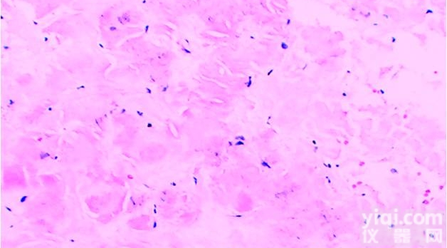
    细胞凋亡TUNEL染色:TUNEL细胞凋亡检测 (TUNEL Apoptosis Assay)是一种高敏快速原位观察细胞凋亡的检测方法。对于待检测的细胞或组织样品,经过生物素标记和后续的DAB显色等步骤,即可在普通光学显微镜下观察到凋亡细胞。细胞在发生凋亡时,会激活一些DNA内切酶,这些内切酶会切断核小体间的基因组DNA,基因组DNA断裂时,暴露的3'-OH可以在末端脱氧核苷酸转移酶(TdT)的催化下加上生物素(Biotin)标记的dUTP (Biotin-dUTP),后者与辣根过氧化物酶(HRP)标记的Streptavidin (Streptavidin-HRP)结合,在HRP的催化下通过DAB显色来显示凋亡细胞,从而可以通过普通光学显微镜检测到凋亡的细胞。与流式检测凋亡细胞相辅相成,TUNEL细胞凋亡检测主要是针对组织和细胞,便于观察凋亡细胞的定位和凋亡率,流式FCM凋亡检测则主要是针对培养细胞进行检测,可以准确的判断凋亡率。

     

    细胞Hoechst凋亡染色


     长沙南科生物技术有限公司是一家专业提供医学、生物学实验技术服务和技术解决方案的生物科技公司,能提供整套实验技术服务,从协商设计实验、代做实验、写作和代发SCI论文到课题完成。
    专业提供生物医药实验技术服务
    长沙南科生物
    http://www.nkbio.cn
    业务经理陆勇:18229848048/14726920250
    技术服务项目:病理形态学、细胞生物学、分子生物学、免疫与生化、组织与基因芯片、动物实验等.

           长沙南科生物技术有限公司是一家专业提供医学、生物学实验技术服务和技术解决方案的生物科技公司,公司拥有完善的病理组织、分子生物、免疫与生化、细胞培养、病毒学、动物及裸鼠实验室,开展质粒构建、蛋白表达、抗体制作、医学及生物实验技术服务,已成功的为湘雅医学院、同济医学院、北京儿童医院、解放军301309医院、华中农大、上海华山医院、上海瑞金医院、温州医学院、武大医学院、广东医学院、第三军医、第四军医、湖南省人医、湖南省肿瘤医院、湖南农大、湖南中医大、湖北中医大等单位提供了优质的实验技术服务以及相关产品和试剂。

    南科生物面对医学院及其附属医院、医药科研院所、设有生物专业高校提供单项和整体课题实验技术服务,对于握有科研课题但工作繁忙而无暇分身的临床医生而言,只需要您将课题交付我们,剩下的工作由南科生物完成,我们可以为您节约大量宝贵的时间和精力;对于面临毕业压力的广大硕博士而言,我们乐于一起探讨课题方案的合理性并给出建议,程度上优化实验方案和节约资金;对于课题也许您还只有一个设想,南科生物只需要您的课题设想或目标,我们愿意和您一起讨论并确定合理的课题方案并付诸实施,直至论文交付和顺利毕业。

    南科生物所追求的目标不仅仅是科研课题实施的过程,更多的时候我们关注实施前后的各个环节,客户满意将是南科生物动力。

    南科生物力求建立诚信、优质、GX的服务形象,并以此确定南科在医学、生物学实验技术外包领域的领先地位。

    资料下载:

    细胞鉴定免疫荧光IF实验报告.doc 附件下载 (下载 2 次)

    凋亡TUNEL染色2.jpg 附件下载 (下载 3 次)

    凋亡TUNEL染色1.jpg 附件下载 (下载 4 次)

    请 [登录] 后再下载!

  • 信息声明:本产品供应信息由仪器网为您整合,供应商为(长沙南科生物技术有限公司),内容包括 (技术服务-病理形态学)的品牌、型号、技术参数、详细介绍等;如果您想了解更多关于 (技术服务-病理形态学)的信息,请直接联系供应商,给供应商留言!
    供应商产品推荐
      您可能感兴趣的产品