产品库

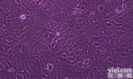
PG-4 猫星形脑胶质细胞

产品信息
PG-4 猫星形脑胶质细胞,我公司自有高品质细胞库, 所有母细胞来源为进口细胞库 (90%来自ATCC细胞库,其他分别来自欧洲细胞库,英国细胞库等), 经过永生化处理制成传代细胞株, 保证为国内高品质传代细胞株。

PG-4 猫星形脑胶质细胞

 

细胞具体情况介绍:

细胞名称                       PG-4 猫星形脑胶质细胞

来源                              ATCC细胞库

种属                              猫

组织                              脑

生长特性                        贴壁 

成瘤情况                        未成瘤

建议使用培养基           

DMEM-H +10%FBS


 

 

龙跃细胞库简介:

 

我公司自有高品质进口来源细胞库, 所有细胞来源为进口母细胞, 经过永生化处理制成传代细胞株, 保证为国内高品质传代细胞株。

另外我们有专门的工程师负责售后维护工作, 保证您购买细胞没有后顾之忧,  如果对细胞品质不满意可以无条件退款或免费重新发货,直到满意为止。

 

 细胞处理方法

以下细胞处理方法及细胞说明书仅供参考,具体操作还需要根据到货时细胞密度,细胞生长状态等具体情况,酌情处理,如需要更详细技术指导,请及时电话或邮件联系。

一.贴壁细胞

  1. 客户接收到细胞,用75%的酒精消毒(建议配制75%酒精的水是灭菌过的)培养瓶外部。
  2. 肉眼观察细胞培养基颜色,显微镜观察细胞生长情况,并对细胞进行不同倍数拍照(建议收到时的培养瓶拍一张照片,显微镜拍收到时的细胞100X ,200X 各一张)。
  3. 显微镜观察细胞,当细胞融汇至80%左右(可以传代的情况下),细胞应该在37度培养箱预温1-2h后再做处理。如未达到细胞传代密度,培养瓶应预留一部分培养基继续培养。
  4. 严格无菌操作,打开细胞培养瓶。
  5. 将细胞培养瓶内的培养基用吸管完全吸出(严禁直接倾倒),放入另一无菌容器中(建议换新的培养基培养细胞)。
  6. PBS 2-3ml/次轻轻洗细胞表面,加入适量的0.05%胰酶-EDTA消化细胞,显微镜下观察细胞变圆,轻轻拍打培养瓶直到细胞脱落,加入终止液终止。
  7. 1000rpm,5min离心,重悬细胞。换新的细胞培养瓶,37,5%CO2  培养。

二.悬浮细胞

1. 接收到细胞,用75%的酒精消毒(建议配制75%酒精的水是灭菌过的)培养瓶外部。

2. 肉眼观察细胞培养基颜色,显微镜观察细胞生长情况,并对细胞进行不同倍数拍照(建议收到时的培养瓶拍一张照片,显微镜拍收到时的细胞100X ,200X 各一张)。

3. 严格无菌操作,打开细胞培养瓶。

4. 将细胞培养瓶内的培养基用吸管完全吸出(严禁直接倾倒)。

5. 1000rpm,5min离心,重悬细胞。 换新的细胞培养瓶和新鲜培养基,37,5%CO2  培养

 

 

维修 PCR/酶标仪/所有实验室仪器

 

我公司维修站目前国内有上海和北京两个站点  ( 北京和上海可以派专人上门检测仪器并运往维修站, 也可以发快递至我公司 ), 免费检查,  找到问题后报价维修, 如果报价后您觉得价格高的话可以不修(我们负责把机器原样寄回)

 

实验室仪器维修, 包括PCR, 酶标仪, 离心机,分析仪器,天平,水分计等

 

从事维修工作的工程师有长达20年的工作经验,  可胜任几乎所有常规实验室仪器的维修及校准等工作, 大至荧光定量PCR, DNA测序仪,小到水分计都可以维修

 

细胞培养小课堂 

 

为防止污染,培养基中还需添加一定量的抗生素,常用抗生素名称、浓度及敏感性如下表。 [1] 

抗生素名称

浓度

细菌敏感

支原体感染

青霉素

100U/ml

+++

 

链霉素

100ug/ml

+++

 

庆大霉素

50ug/ml

+++

 

卡那霉素

100ug/ml

++

+

红霉素

50ug/ml

++

 

四环素

10ug/ml

++

++

多粘菌素

50ug/ml

++

 

两性霉素B

3ug/ml

++

 

制霉菌素

50U/ml

++

 

截耳素衍生物

10ug/ml

 

+++


信息声明:本产品供应信息由仪器网为您整合,供应商为(北京龙跃生物科技发展有限公司),内容包括 (PG-4 猫星形脑胶质细胞)的品牌、型号、技术参数、详细介绍等;如果您想了解更多关于 (PG-4 猫星形脑胶质细胞)的信息,请直接联系供应商,给供应商留言!
供应商产品推荐
    您可能感兴趣的产品